Министерство науки и высшего образования Российской Федерации
Федеральное государственное бюджетное научное учреждение
«Экспертно-аналитический центр»
Москва, ул. Талалихина, д. 33, стр. 4. Телефон: (495) 663-20-13

Дата публикации: 16 августа 2021 г.

Кембриджский университет: ИИ обнаружит будущую деменцию задолго до появления симптомов

Искусственный интеллект (ИИ) может обнаружить ранние признаки деменции путем сканирования мозга за годы до проявления основных симптомов, а в некоторых случаях до появления каких-либо симптомов.


Изображение: https://pxhere.com/

При деменции происходит накопление различных типов белков в головном мозге, которые приводят к снижению когнитивных функций. В случае болезни Альцгеймера эти белки включают бета-амилоид, который образует «бляшки», слипаясь между нейронами и влияя на их функцию. 

Команда под руководством профессора Зои Курци (Zoe Kourtzi) из Кембриджского университета (University of Cambridge) и Института Алана Тьюринга (The Alan Turing Institute), разработала инструменты машинного обучения, которые могут обнаруживать деменцию у пациентов на очень ранней стадии. Используя сканирование мозга пациентов, у которых развилась болезнь Альцгеймера, их алгоритм машинного обучения научился определять структурные изменения в мозге. В сочетании с результатами стандартных тестов памяти алгоритм смог обеспечить прогностическую оценку, то есть вероятность того, что человек болен болезнью Альцгеймера.

Для пациентов с легкими когнитивными нарушениями - признаками потери памяти или проблемами с речью или визуальным / пространственным восприятием - алгоритм был более 80% точен в прогнозировании тех людей, у которых впоследствии разовьется болезнь Альцгеймера. Он также смог предсказать, насколько быстро их познавательные способности будут ухудшаться с течением времени.

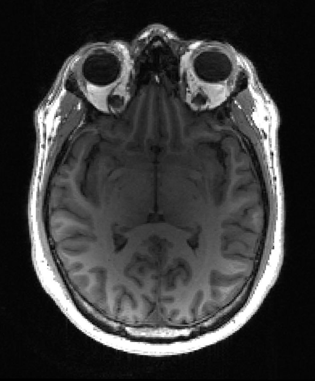
МРТ головного мозга здорового добровольца (Источник: Тимоти Риттман)

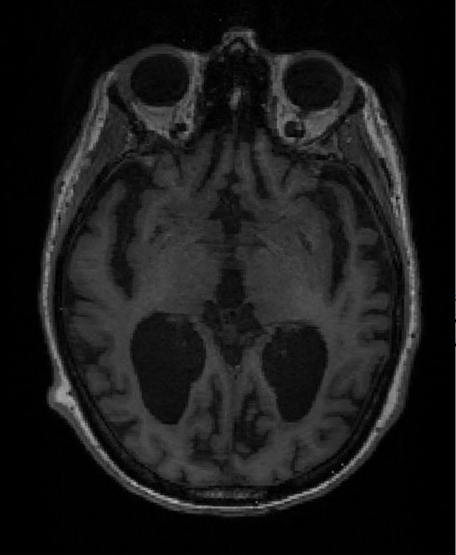
МРТ головного мозга пациента с болезнью Альцгеймера (Источник: Тимоти Риттман)

«Нам даже удалось идентифицировать некоторых пациентов, у которых еще не было никаких симптомов, но у которых развилась болезнь Альцгеймера», - сказала профессор Курци. «Со временем мы надеемся, что сможем идентифицировать пациентов уже за пять-десять лет до того, как у них появятся симптомы в рамках проверки здоровья».

Источник: cam.ac.uk

← предыдущая новость следующая новость →
Популярные издания ФГБНУ «Аналитический центр»
Издания 2019 года

Гасанбекова Л. А. Оценка эффективности финансово-хозяйственной деятельности государственных унитарных предприятий

Практическое пособие / Л. А. Гасанбекова, В. И. Никитина, Б. В. Сошников; под общ. науч. ред. канд. экон. наук О. А. Коробко. – М.: ФГБНУ «Аналитический центр» Минобрнауки России, 2019. – 49 с. (ISBN 978-5-904670-54-2).

Доступна электронная версия печатного издания.

Издания 2018 года

Вопросы контроля хозяйственной деятельности и финансового аудита, национальной безопасности, системного анализа и управления

Сборник материалов III Всеросс. науч.-практ. конф., г. Москва, 29 декабря 2017. – М.: ФГБНУ «Аналитический центр» Минобрнауки России, 2018. – 200 с. (ISBN 978-5-904670-53-5).

Доступна электронная версия печатного издания.

открыть полный список изданий Центра →

Документ был изменён 11.11.2019 в 10:50.
Поиск данных
об аттестации
педагогических работников
Издания Центра